Reliable Posterior Core Build-up with UltraCore: Clinical Case on Tooth #37

Posterior teeth that have undergone root canal therapy often present with varying degrees of coronal loss. When the remaining tooth structure—particularly the dentin walls and cusps—remains strong, a predictable direct core build-up can restore function without the need for post placement or a full-coverage crown.
Let' s take a closer look at a clinical case that demonstrates how UltraCore (HUGE) can provide a reliable dual-cure core build-up solution.
Clinical Case: Direct Core Build-up on Tooth #37
Case Overview

This case was contributed by Dr. Punyawee Werasopon, DDS, M.Sc., a board-certified endodontist in Thailand.
A 30-year-old male patient came for restorative treatment after completing root canal therapy on tooth #37. The tooth had minimal structural loss, and the remaining dentin walls provided adequate retention for core build-up material.
Because of the limited loss of tooth structure — and considering the C-shaped canal anatomy — placing a post was unnecessary and would have carried additional risk. The existing dentin walls were sufficient to support a reliable adhesive core restoration.
An adhesive core build-up was performed using phosphoric acid etch and rinse, followed by light-cured universal bonding and a dual-cured resin core material.
The tooth is now ready for a cuspal-coverage restoration as the next step to restore full function and long-term durability.
Case Procedure
1. Isolation and Access Refinement
Rubber dam isolation was applied for moisture control. The access cavity was cleaned to remove residual debris and expose sound dentin surfaces for adhesive procedures.

2. Etching
P-Etchant phosphoric acid etchant was applied to enamel and dentin. The surface was thoroughly rinsed and dried to prepare it for bonding.

3. Adhesive Application
HugeBond light-cure dental adhesive was applied to the cavity walls, evenly dispersed with gentle air, and then light-cured to achieve reliable bonding.

4. Core Build-Up
A dual-cure core build-up material UltraCore (HUGE) was injected and shaped anatomically. The dual-curing mechanism ensured complete polymerization throughout the core.

5. Finishing and Final Appearance
Core material was fully cured and then refined to re-establish proper anatomical contours. The restored surface showed smooth integration with the surrounding tooth structure, and the overall appearance was natural and consistent with adjacent dentition.

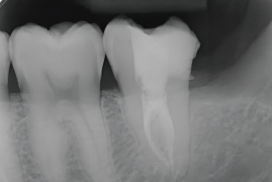
6. Post-Operative
A postoperative periapical radiograph was taken to evaluate the core build-up. The UltraCore dual-cure core build-up dental restorative materials exhibited excellent radiopacity, allowing clear visualization of its margins within the access cavity.

The tooth is now ready for a cuspal-coverage restoration as the next step to restore full function and long-term durability.
Why Choose Ultracore -Key Features
UltraCore is a glass-fiber–reinforced composite post-and-core material featuring a flexural modulus similar to dentin. Its high compressive and flexural strength provides excellent resistance to fracture and ensures long-term, stable support for the crown.

Key Advantages
· Glass-fiber reinforced / dentin-like modulus – balanced stress distribution, reduces fracture risk
· High compressive & flexural strength – stable support under occlusal load
· Dual-cure polymerization – complete curing even in deep areas
· Smooth handling & dentin-like cutting – precise shaping, easy operation
· Seven available shades – esthetic and masking options
· Three-in-one versatility – suitable for post cementation, core build-ups, and crown/bridge cementation
For an optimal workflow, UltraCore is recommended to be used with HugeBond Universal FliPro, our 8th-generation universal adhesive.
*The above data are from HUGE lab.
What Expert Says About Ultracore

UltraCore delivers consistent strength and versatile performance in daily posterior restorations, and expert observations further reinforce its reliability in routine restorative workflows.
UltraCore delivers reliable strength, natural esthetics, and dual-cure performance for posterior core build-ups, ensuring predictable results in everyday restorative workflows. Contact us and see for yourself how UltraCore can streamline your restorations and improve patient outcomes!
English
日本語
français
Deutsch
Español
русский
português